Resumo
Os bisfosfonatos (BFs) têm sido indicados para o tratamento de doenças do metabolismo ósseo. Atualmente, seu emprego terapêutico aumentou e, com ele, os efeitos adversos, dos quais um dos mais importantes é a indução da osteonecrose dos maxilares, uma complicação de difíceis tratamento e solução. Até o presente, não se sabe ao certo qual é o mecanismo de desenvolvimento da osteonecrose dos maxilares induzida por bisfosfonatos (ONM), nem qual deve ser o tratamento estabelecido perante essa manifestação. Apesar de a literatura apresentar formas variadas de tratamento, não existe um protocolo definido. Apresentamos uma revisão sobre a ONMB, enfocando sua etiopatogenia e as formas reportadas de tratamento.
A osteonecrose dos maxilares induzida por bisfosfonatos (ONM) é uma condição rara, mas grave, caracterizada pela morte do tecido ósseo na mandíbula ou maxila, associada ao uso de bisfosfonatos. Esses medicamentos são frequentemente prescritos para tratar doenças ósseas como osteoporose e mieloma múltiplo, mas podem levar à ONM em alguns pacientes.
O que são bisfosfonatos e como podem causar ONM?
Bisfosfonatos são medicamentos que atuam reduzindo a reabsorção óssea, ou seja, a perda de massa óssea, ajudando a fortalecer os ossos. No entanto, o uso prolongado de bisfosfonatos, especialmente em altas doses, pode afetar a renovação óssea e a cicatrização, aumentando o risco de osteonecrose, especialmente em procedimentos odontológicos invasivos como extrações dentárias.
Fatores de risco:
- Tipo de bisfosfonato:
Alguns bisfosfonatos, como os administrados por via intravenosa, parecem ter um risco maior de induzir ONM do que os administrados por via oral. - Duração do tratamento:
Quanto maior o tempo de uso dos bisfosfonatos, maior o risco de desenvolver ONM. - Procedimentos odontológicos:
Extrações dentárias, cirurgias periodontais e outros procedimentos invasivos que envolvem o osso podem desencadear a ONM em pacientes que usam bisfosfonatos. - Condições de saúde:
Pacientes com câncer, especialmente aqueles com metástases ósseas, podem ter um risco aumentado de ONM. - Higiene oral:
Má higiene bucal e infecções dentárias também podem aumentar o risco.
Sinais e sintomas:
- Dor na mandíbula ou maxila.
- Inchaço e vermelhidão na região.
- Exposição óssea na boca.
- Feridas que não cicatrizam.
- Infecção e secreção purulenta.
- Entorpecimento ou sensação de formigamento na área.
Diagnóstico e Características Clínicas
O diagnóstico de ONM é primeiramente baseado na história e no exame clínico do paciente. Na maioria das vezes os pacientes apresentam exposição óssea necrótica, variando de poucos milímetros a áreas maiores, podendo permanecer assintomáticos por semanas, meses ou anos. Frequentemente, a lesão torna-se sintomática quando ocorre inflamação ou infecção dos tecidos adjacentes, e em 60% dos casos é referida dor no local de exposição óssea.
Os primeiros sinais e sintomas descritos são dor profunda no osso e mobilidade dental sem relação com doenças periodontais, traumas dentais ou outras lesões, como aumento de volume, eritema, ulceração e fístula sinusal.
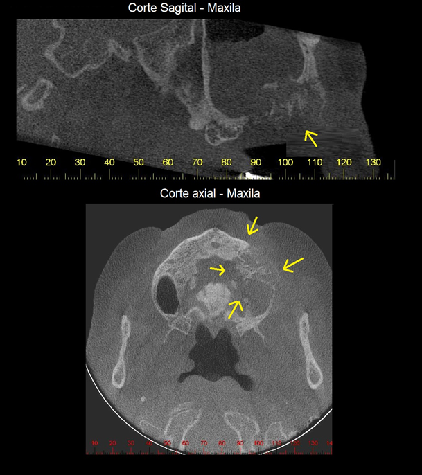
A ONM apresenta maior incidência na mandíbula em comparação com a maxila em uma proporção de 2:1, em áreas com mucosa menos espessa, como as de proeminências ósseas, tórus e linha milo-hioidea. A quantidade de osso exposta é muito variável em suas dimensões. Inicia-se com uma exposição pontual que pode permanecer ou progredir para uma exposição maior. Radiograficamente, é possível observar espessamento da lâmina dura e aumento do ligamento periodontal no osso alveolar no ponto de início da ONM (Figura 1).

Os pacientes que recebem a droga por via oral necessitam de um tempo maior de uso do medicamento para apresentar exposição óssea, a qual é geralmente menor em comparação aos que recebem a droga sistematicamente. Os sintomas são menos intensos, e há chance de melhora destes fazendo um intervalo no uso do medicamento.
Uma definição do estágio clínico da ONM e o tratamento proposto pela AAOMS para cada estágio estão representados na Tabela 1.

Prevenção e tratamento:
A prevenção é fundamental para reduzir o risco de ONM. Recomenda-se:
- Exame odontológico completo antes de iniciar o tratamento com bisfosfonatos:
Identificar e tratar possíveis focos de infecção e restaurar a saúde bucal. - Manutenção de boa higiene bucal:
Escovação regular, uso de fio dental e enxaguante bucal com clorexidina podem ajudar a prevenir infecções. - Acompanhamento odontológico regular:
Monitorar a saúde bucal e identificar precocemente quaisquer sinais de ONM. - Comunicação com o médico:
Discutir com o médico a possibilidade de suspender o uso de bisfosfonatos antes de procedimentos odontológicos invasivos. - Tratamento conservador:
Em casos de Osteonecrose dos Maxilares induzida por bisfosfonatos (ONM) estabelecida, o tratamento pode envolver antibioticoterapia, enxaguantes bucais com clorexidina, controle da dor e, em alguns casos, cirurgia para remover o osso necrótico.
As características radiográficas são de áreas de lise óssea de limites irregulares, acompanhadas, por vezes, de reação periosteal das corticais adjacentes. É imprescindível que as informações como a histórico da doença e o uso de medicações sejam relatadas ao radiologista, quando da solicitação do exame.

É importante ressaltar que a ONM é uma condição complexa e o tratamento pode variar dependendo do estágio e da gravidade da doença.

Em caso de suspeita de ONM, procure imediatamente um cirurgião-dentista e um médico para avaliação e tratamento adequados.
Conclusão
A comunicação do médico que realiza a prescrição da medicação com o cirurgião-dentista do paciente é fundamental para se tentar estabelecer um tratamento preventivo para a Osteonecrose dos Maxilares induzida por bisfosfonatos (ONM) antes do início da terapia medicamentosa.
Estudos experimentais in vitro, in vivo e clínicos são necessários para que se possa compreender melhor o desenvolvimento da ONM. Resultados de pesquisas futuras poderão contribuir para o delineamento de protocolos de prevenção e de tratamento adequados para os pacientes.
Segundo o Dr. Marcos Rocha, Radiologista da Papaiz Diagnósticos Odontológicos, Existem relatos de pacientes com dores inespecíficas que, por vezes, podem ser associadas a causas dentais, como problemas endodônticos, o que algumas vezes pode levar o cirurgião dentista, equivocadamente, a realizar tratamentos de canais em dentes onde a dor é referida, apesar de exames clínicos e radiográficos não mostrarem evidências de causa endodôntica.
Algumas vezes pacientes com dor referida em áreas de dentes com tratamentos endodônticos relatam dores e essas podem ter como hipóteses de diagnósticos (HDs) fraturas, trincas, ou canais acessórios também. A Tomografia Cone Beam, nestes casos pode ser um exame decisivo para descartar essas HDs.
Importante que o dentista realize uma anamnese bastante detalhada em pacientes que estejam sob cuidados médicos relacionados a osteoporose, normalmente mulheres com idades acima de 50 anos.
Importante ressaltar que A Tomografia Cone Beam pode auxiliar no diagnóstico, mas é fundamental que as informações fornecidas pelo paciente durante a anamnese sejam sempre repassadas ao radiologista na solicitação de forma clara (o que nem sempre ocorre) lhe dando parâmetros para nortear o estudo tomográfico, completa o Dr. Rocha.
Referências
- Osteonecrose maxilar associada ao uso de bisfosfonatos – Leia aqui – Acesso em 20/08/2025
- Osteonecrose maxilofacial induzida por bisfosfonatos em indivíduos com osteoporose – Leia Aqui -,acesso em 20/08/2025
- Osteonecrose mandibular associada ao uso de bisfosfonato de sódio em paciente com mieloma múltiplo – acesse aqui – Acesso em 20/08/2025
- Bisfosfonatos e osteonecrose maxilar: uma revisão narrativa da literatura – Leia aqui Acesso em 20/08/2025
- Boletim Científico Papaiz Associados Osteonecrose por medicamentos – Leia aqui
- Maxxi Diagnósticos por imagem em Odontologia
-
-




